Pedersen Lab

LABORATORY OF MicroRNA Biology and Blood Brain Barrier
Principal Investigator: Irene Pedersen

 
 
 

Research

 
 

Research 1

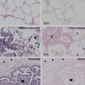
miRs role in tumor niche interactions

 

Research 2

Repair of damaged BBB using miRs

 

Research 3

miRs as restriction factors controlling mobile elements and retrovirus


 
 
 
All Scintillon Faculty